서울업치과 3줄 요약
- 과거에는 치아가 빠지면 브릿지로 연결했지만, 재치료 시 비용과 발치 위험이 커지는 경우가 많았지요.
- 요즘은 임플란트가 보편화되어, 문제가 생긴 브릿지를 제거하고 필요한 치아는 살리고, 상실 부위는 임플란트로 안정적으로 회복하는 방식을 많이 선택합니다.
- 서울업치과는 CT 진단 기반으로 치조골 상태를 평가해 맞춤 지대주·지르코니아 보철까지 자연스럽게 기능과 심미를 회복하는 치료를 진행하고 있어요.

안녕하세요! 진심의 치과, 서울업치과입니다.
과거 임플란트 치료가 활성화되기 전에는 치아를 상실할 경우 앞, 뒤 치아를 연결하는 브릿지 치료를 주로 선택할 수밖에 없었습니다
일반적인 싱글 크라운 치료에 비해서 브릿지 치료를 진행한 경우 재치료를 진행할 경우 비용이 2-3배 높습니다.
브릿지 전체를 제거하고 치아 3개에 해당하는 크라운을 진행해야 하기 때문입니다.
따라서 브릿지 치료를 한 경우 치료를 미루다 치아에 큰 문제가 생겨야 치료를 진행하는 경우가 많아 상대적으로 발치를 해야 하는 경우가 많습니다.
신경치료(근관치료)를 하지 않은 경우에는 불편감이나 통증을 인지하는 것이 신경치료(근관치료)를 한 치아보다 유리하기 때문에 비교적 브릿지에 문제가 생기더라도 치아를 살릴 수 있는 가능성이 높습니다.
과거에 비해 보편화 된 임플란트 치료
요즘에는, 임플란트 치료의 보편화로 브릿지 치아가 문제가 있을 경우 연동 임플란트 치료로 진행하는 경우가 많습니다.
저희 연동 서울업치과의 사례를 통해서 살펴보겠습니다.
서울업치과 치료사례
I.
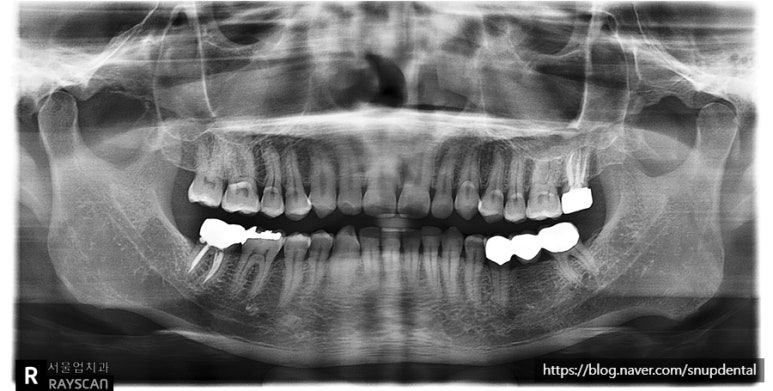
왼쪽 아래 브릿지 치아가 불편하다고 서울업치과에 내원하신 환자입니다




불편한 증상을 확인하고 어금니(#37) 부위에 문제가 있고, 작은 어금니(#35)는 살려 쓸 수 있다고 판단됩니다.
브릿지를 제거하고 어금니를 살펴보니 2차 우식이 진행되어 치아가 상당히 많이 연화되었고 치수강까지 진행되어 근관치료(신경치료)를 진행하기로 하였습니다.
또한 치아가 상실된 곳은 부착치은이 소실되고 협측골이 상대적으로 얇아졌으나 임플란트 치료하기에는 문제가 되지 않기에 임플란트 치료를 진행하기로 하였습니다.

부분 CT 상에서 현재 뼈 상태 및 임플란트 식립 계획을 세워봅니다.

임플란트 수술 후 구강 내 사진 및 부분 CT 캡처 사진입니다



살려 쓰기로 한 작은 어금니 및 근관치료(신경치료) 한 어금니는 임시치아를 사용하면서 불편함이 없음을 확인.

맞춤형 지대주 연결 및 PMMA 임시치아 부착.
작은 어금니, 어금니는 최종 지르코니아 보철물 부착.


임플란트의 경우 맞춤지대주와 PMMA 임시치아를 사용하면서 불편함이 있는지 확인하고, sinking-down 현상이 발생하는지 확인 후 최종 지르코니아 보철물 제작을 진행 예정입니다.
II.
오른쪽 위 어금니 불편감으로 레진 치료 후 왼쪽 아래 브릿지를 임플란트로 교체 원하셔서 진행하기로 하였습니다.
상대적으로 상실된 치아 공간이 작아 (두 번째 어금니가 앞쪽으로 기울어져서) 어금니가 아닌 작은 어금니 사이즈의 임플란트 크라운 진행이 가능함을 설명드리고 치료 진행하기로 하였습니다.

크라운 제거 후 사진
두 번째 어금니는 우식이 진행되어 치료가 필요한 것으로 보입니다.

부분 CT를 촬영하여 현재 치조골 상태 확인 및 임플란트 수술 계획을 잡고

임플란트 수술 후 부분 CT 및 구강 내 사진


작은 어금니 및 두 번째 어금니는 지르코니아 최종 수복물을 임시 접착하여 사용 중입니다
THAB를 사용하여 보다 많은 부착치은이 생성될 수 있도록 유도하고 잇몸을 여는 2차 수술을 생략하도록 하였습니다.
임플란트가 골 유착이 되는 2-3개월 후 맞춤형 지대주 및 보철 진행 예정입니다.


주차권을 지원합니다.
저희 서울업치과는 연동에 위치해있다보니 주차를 어려워하시는 경우가 종종 있습니다.
기본적으로 건물내의 지하주차장을 무료로 이용하실 수 있으며, 자리가 없다면 주변의 공영주차장을 이용해주세요.
공영주차장에 유료로 주차하신 경우, 데스크에 말씀해주시면 진료시간만큼 주차권을 지원해드립니다. 편안하게 내원해주세요 :]
네이버예약 가능합니다.
연동임플란트 등 치료가 필요하신 분들이 오래 기다리시지 않도록 네이버예약을 지원합니다. 원하시는 날짜와 시간대를 확인해보세요!
▼ 서울업치과 네이버로 예약하기 ▼

서울업치과 3줄 요약
안녕하세요! 진심의 치과, 서울업치과입니다.
과거 임플란트 치료가 활성화되기 전에는 치아를 상실할 경우 앞, 뒤 치아를 연결하는 브릿지 치료를 주로 선택할 수밖에 없었습니다
일반적인 싱글 크라운 치료에 비해서 브릿지 치료를 진행한 경우 재치료를 진행할 경우 비용이 2-3배 높습니다.
브릿지 전체를 제거하고 치아 3개에 해당하는 크라운을 진행해야 하기 때문입니다.
따라서 브릿지 치료를 한 경우 치료를 미루다 치아에 큰 문제가 생겨야 치료를 진행하는 경우가 많아 상대적으로 발치를 해야 하는 경우가 많습니다.
신경치료(근관치료)를 하지 않은 경우에는 불편감이나 통증을 인지하는 것이 신경치료(근관치료)를 한 치아보다 유리하기 때문에 비교적 브릿지에 문제가 생기더라도 치아를 살릴 수 있는 가능성이 높습니다.
과거에 비해 보편화 된 임플란트 치료
요즘에는, 임플란트 치료의 보편화로 브릿지 치아가 문제가 있을 경우 연동 임플란트 치료로 진행하는 경우가 많습니다.
저희 연동 서울업치과의 사례를 통해서 살펴보겠습니다.
서울업치과 치료사례
I.
왼쪽 아래 브릿지 치아가 불편하다고 서울업치과에 내원하신 환자입니다
불편한 증상을 확인하고 어금니(#37) 부위에 문제가 있고, 작은 어금니(#35)는 살려 쓸 수 있다고 판단됩니다.
브릿지를 제거하고 어금니를 살펴보니 2차 우식이 진행되어 치아가 상당히 많이 연화되었고 치수강까지 진행되어 근관치료(신경치료)를 진행하기로 하였습니다.
또한 치아가 상실된 곳은 부착치은이 소실되고 협측골이 상대적으로 얇아졌으나 임플란트 치료하기에는 문제가 되지 않기에 임플란트 치료를 진행하기로 하였습니다.
부분 CT 상에서 현재 뼈 상태 및 임플란트 식립 계획을 세워봅니다.
임플란트 수술 후 구강 내 사진 및 부분 CT 캡처 사진입니다
살려 쓰기로 한 작은 어금니 및 근관치료(신경치료) 한 어금니는 임시치아를 사용하면서 불편함이 없음을 확인.
맞춤형 지대주 연결 및 PMMA 임시치아 부착.
작은 어금니, 어금니는 최종 지르코니아 보철물 부착.
임플란트의 경우 맞춤지대주와 PMMA 임시치아를 사용하면서 불편함이 있는지 확인하고, sinking-down 현상이 발생하는지 확인 후 최종 지르코니아 보철물 제작을 진행 예정입니다.
II.
오른쪽 위 어금니 불편감으로 레진 치료 후 왼쪽 아래 브릿지를 임플란트로 교체 원하셔서 진행하기로 하였습니다.
상대적으로 상실된 치아 공간이 작아 (두 번째 어금니가 앞쪽으로 기울어져서) 어금니가 아닌 작은 어금니 사이즈의 임플란트 크라운 진행이 가능함을 설명드리고 치료 진행하기로 하였습니다.
크라운 제거 후 사진
두 번째 어금니는 우식이 진행되어 치료가 필요한 것으로 보입니다.
부분 CT를 촬영하여 현재 치조골 상태 확인 및 임플란트 수술 계획을 잡고
임플란트 수술 후 부분 CT 및 구강 내 사진
작은 어금니 및 두 번째 어금니는 지르코니아 최종 수복물을 임시 접착하여 사용 중입니다
THAB를 사용하여 보다 많은 부착치은이 생성될 수 있도록 유도하고 잇몸을 여는 2차 수술을 생략하도록 하였습니다.
임플란트가 골 유착이 되는 2-3개월 후 맞춤형 지대주 및 보철 진행 예정입니다.
주차권을 지원합니다.
저희 서울업치과는 연동에 위치해있다보니 주차를 어려워하시는 경우가 종종 있습니다.
기본적으로 건물내의 지하주차장을 무료로 이용하실 수 있으며, 자리가 없다면 주변의 공영주차장을 이용해주세요.
공영주차장에 유료로 주차하신 경우, 데스크에 말씀해주시면 진료시간만큼 주차권을 지원해드립니다. 편안하게 내원해주세요 :]
네이버예약 가능합니다.
연동임플란트 등 치료가 필요하신 분들이 오래 기다리시지 않도록 네이버예약을 지원합니다. 원하시는 날짜와 시간대를 확인해보세요!
▼ 서울업치과 네이버로 예약하기 ▼