서울업치과 3줄 요약
- 임플란트·보철·소아치료 등 폭넓은 진료가 가능한 제주 서울업치과에서 앞니 변색과 어금니 불편감을 주소로 내원한 사례입니다.
- 색 변화와 통증 검사 결과 비가역적 치수염으로 판단되어 근관치료를 진행했고, 치료 후에는 레진으로 마무리할 계획이예요.
- 진료 후에는 건물 지하주차장 또는 공영주차장 이용이 가능하며, 필요 시 주차권 지원도 안내해 드리고 있습니다.

안녕하세요! 진심의 치과, 서울업치과입니다.
이번 글을 통해서는 저희 제주 서울업치과의 치료사례를 보여드리려고 합니다. 본원은 연동에 위치한 곳으로, 통합치의학 전문의가 진료하고 있습니다.
임플란트나 보철치료와 같이 난이도가 높은 시술은 물론, 소아치료 및 치아미백, 사랑니 등 다양한 치과진료가 가능합니다.
제주 서울업치과 진료사례
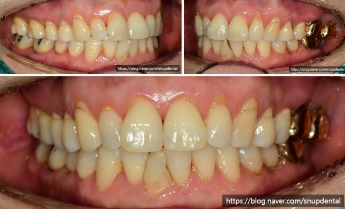
제주 서울업치과에서 크라운 치료를 받으신 환자분께서 아래 앞니 치아색이 변했다고 내원하셨습니다.


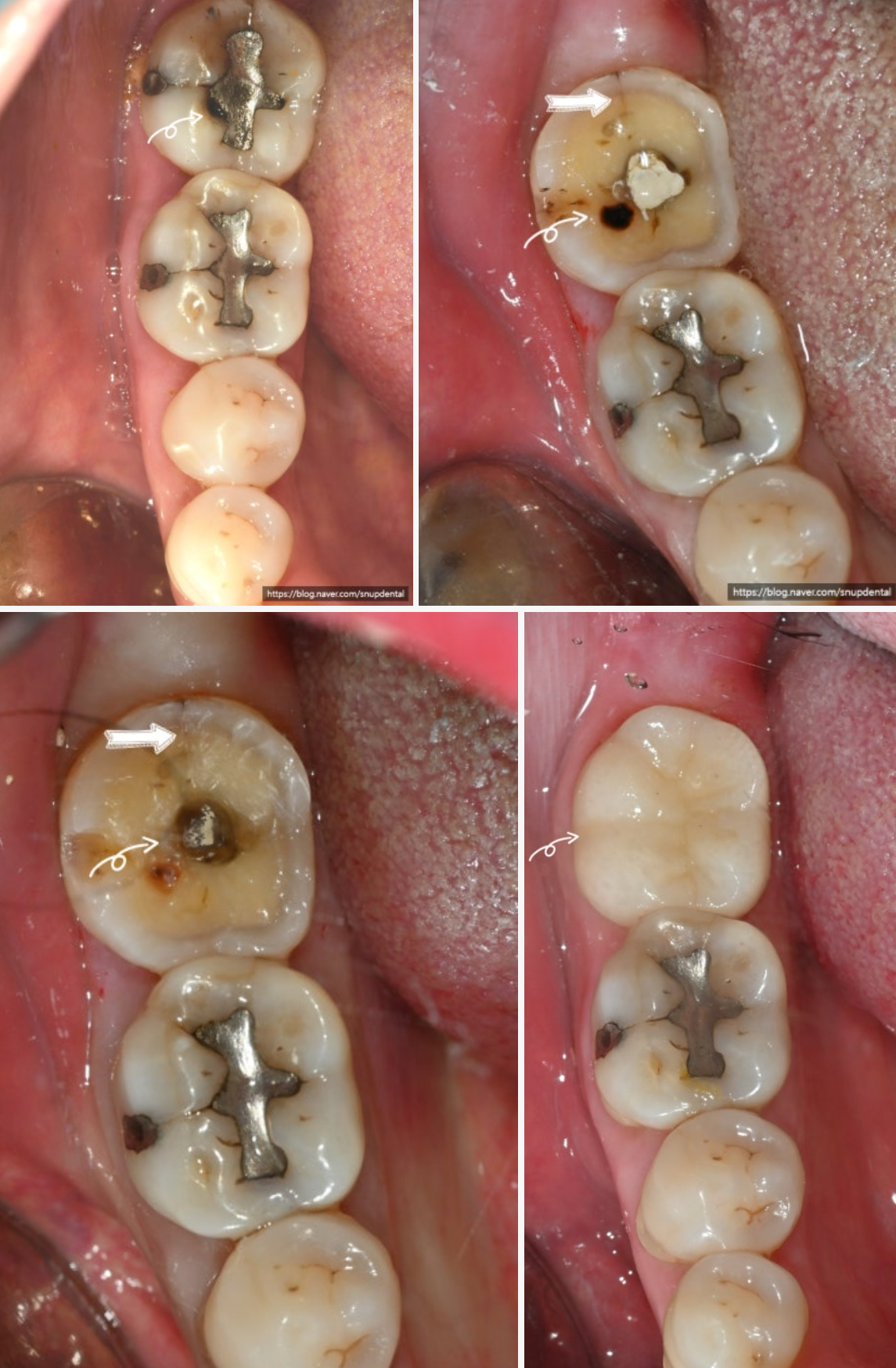
오른쪽 아래 두 번째 어금니 불편감(통증) 호소
아말감 부분 파절 및 이차우식 소견
치아 crack 소견(굵은 화살표)
임시치아 상태에서 불편감이 없어 근관치료 없이 크라운(지르코니아) 치료로 마무리.
앞의 어금니도 치료 원하셨으나 치료가 필요한 상태는 아니라 더 사용하시기로 함.

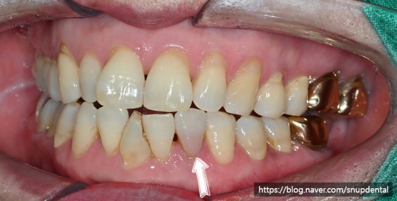
왼쪽 아래 두 번째 앞니(#32)
충혈(hyperemia) 증상
차가운 물 및 뜨거운 물에 통증이 있으셨다 함.
두드리거나(percussion test), 솜을 물었을 때(bite test) 통증.
위와 같이 치아 색이 변하는 경우는 치수 충혈 증상으로 볼 수 있으며 우식에 의한 치수염이나 외상에 의한 충격 시에 나타날 수 있습니다.
단순히 색만 변한 경우에는 지켜보는 경우도 있으나 위 환자의 경우 치수염 증상이 나타났고 비가역적 치수염으로 자연적으로 회복이 불가능하다고 판단되어 근관치료(신경치료)를 진행하였습니다.
내부 치수 및 변색 상아질을 제거하고 근관치료를 할 경우 위와 같은 색변화는 대부분 없어집니다만, 혹시나 필요할 경우 실활치 미백(walking bleeching)을 진행하는 경우도 있습니다.

주변 치질이 건전하기에 우선 근관치료 후 레진으로 마무리할 예정입니다.
본원은 상가가 밀집한 연동에 위치해 있다 보니 주차를 궁금해하시는 분들이 많습니다. 건물 내 지하주차장에 무료 주차가 가능하지만, 만차인경우는 주변 공영주차장을 이용하시면 됩니다.
공영주차장에 유료로 주차하셨다면, 저희 서울업치과에 내원하신 뒤 데스크에 말씀해 주세요. 진료시간에 따라 주차권을 배부해 드리고 있습니다. 보다 편리하게 이용하실 수 있도록 노력하고 있습니다 :]
▼ 서울업치과 네이버로 예약하기 ▼

서울업치과 3줄 요약
안녕하세요! 진심의 치과, 서울업치과입니다.
이번 글을 통해서는 저희 제주 서울업치과의 치료사례를 보여드리려고 합니다. 본원은 연동에 위치한 곳으로, 통합치의학 전문의가 진료하고 있습니다.
임플란트나 보철치료와 같이 난이도가 높은 시술은 물론, 소아치료 및 치아미백, 사랑니 등 다양한 치과진료가 가능합니다.
제주 서울업치과 진료사례
제주 서울업치과에서 크라운 치료를 받으신 환자분께서 아래 앞니 치아색이 변했다고 내원하셨습니다.
오른쪽 아래 두 번째 어금니 불편감(통증) 호소
아말감 부분 파절 및 이차우식 소견
치아 crack 소견(굵은 화살표)
임시치아 상태에서 불편감이 없어 근관치료 없이 크라운(지르코니아) 치료로 마무리.
앞의 어금니도 치료 원하셨으나 치료가 필요한 상태는 아니라 더 사용하시기로 함.
왼쪽 아래 두 번째 앞니(#32)
충혈(hyperemia) 증상
차가운 물 및 뜨거운 물에 통증이 있으셨다 함.
두드리거나(percussion test), 솜을 물었을 때(bite test) 통증.
위와 같이 치아 색이 변하는 경우는 치수 충혈 증상으로 볼 수 있으며 우식에 의한 치수염이나 외상에 의한 충격 시에 나타날 수 있습니다.
단순히 색만 변한 경우에는 지켜보는 경우도 있으나 위 환자의 경우 치수염 증상이 나타났고 비가역적 치수염으로 자연적으로 회복이 불가능하다고 판단되어 근관치료(신경치료)를 진행하였습니다.
내부 치수 및 변색 상아질을 제거하고 근관치료를 할 경우 위와 같은 색변화는 대부분 없어집니다만, 혹시나 필요할 경우 실활치 미백(walking bleeching)을 진행하는 경우도 있습니다.
주변 치질이 건전하기에 우선 근관치료 후 레진으로 마무리할 예정입니다.
본원은 상가가 밀집한 연동에 위치해 있다 보니 주차를 궁금해하시는 분들이 많습니다. 건물 내 지하주차장에 무료 주차가 가능하지만, 만차인경우는 주변 공영주차장을 이용하시면 됩니다.
공영주차장에 유료로 주차하셨다면, 저희 서울업치과에 내원하신 뒤 데스크에 말씀해 주세요. 진료시간에 따라 주차권을 배부해 드리고 있습니다. 보다 편리하게 이용하실 수 있도록 노력하고 있습니다 :]
▼ 서울업치과 네이버로 예약하기 ▼